A woman says she’s been left terrified to ever visit the dentist again after a botched dental job left her in constant pain and too ashamed to show her teeth.
Sadie Hobson, 47, claims her mouth was “ruined” when a dentist drilled into four perfectly healthy teeth to fit a massive dental bridge she didn’t even need.
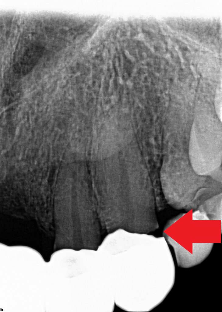
What should have been a simple procedure to replace two missing teeth soon turned into a nightmare.
READ MORE: ‘I spent so much on drugs I could have bought a HOUSE – I lost my kids, my job and nearly my life’
Instead of receiving the two implants she expected, the farm worker says her dentist ground down four healthy teeth – leaving her gums receding, food constantly trapped in her mouth and her confidence in tatters.
“It hurts to eat any fruit or hard foods and I’m conscious about biting and eating,” Sadie told she told Need To Know.
“I always hide my smile now and I’m hesitant when going out in public because I’m embarrassed of my teeth.
“My gums are constantly in pain and bleeding and frequently swollen.”
Sadie said she soon developed gum disease and despite returning to the practice several times, she claims her pleas for help were ignored.

By the time Sadie sought a second opinion, her new dentist was reportedly horrified – warning her the bridge was defective and her gums were severely damaged.
Describing her ordeal, she said: “I was already really nervous to go to the dentist, but I thought a recommendation would mean it would go better.
“I initially went for an implant consultation as I needed two teeth removed after suffering from an injury.
“Instead of just removing and replacing those two teeth with implants, the dentist prepared four other healthy teeth for a bridge and composite bonding.
“After going through all that over the space of a couple months, I realised something wasn’t right and felt my gums shrinking.
“The composite de-bonded and had to be repaired, I still had gaps in my teeth, and the entire bridgework had to be redone.
“Afterwards I felt like I kept getting food trapped in my gums and felt constant agony in my mouth for months.


“Despite all the issues, even after six months, the dentist said there was nothing he could do about my pain.
“Eventually I was referred to a different dentist at the same practice, I had even more X-Rays, and I was still told there was nothing wrong.
“I felt like neither of the dentists had any time for me, or they just didn’t believe me, it was like I was an inconvenience to them.”
The nightmare, which began in 2022, has since destroyed Sadie’s confidence.
Once outgoing and bubbly, she now hides her mouth whenever she speaks or smiles and avoids going out in public altogether.
Even soft foods cause her agony, and she says her dream of flashing a confident smile again feels impossible.
She said: “Eventually I went to a different practice entirely as I was desperate.
“I couldn’t eat properly as food was always getting trapped in my gums and they became swollen and inflamed.
“The dentist I saw was in disbelief over how they had left me.

“He said, ‘You could drive a bus through these gaps’ and told me I clearly had gum disease.
“I was completely shocked that this could happen, but more worrying was how the dentist didn’t notice, even after multiple X-rays.
“I even went to a practice in Spain while I was on holiday for extra confirmation, and was told the exact same thing, that it was very clear I had gum inflammation.”
After losing faith in UK dentistry, Sadie, from Bolton, even looked into flying to Turkey to fix the damage.
Specialist solicitors at the Dental Law Partnership later revealed her dentist had provided completely unnecessary treatment – drilling healthy teeth, fitting a defective bridge, and ignoring months of agony.
Sadie’s case was settled in June 2025, when she was awarded £17,000 compensation.

The dentist involved did not admit liability.
Experts say her pain and distress could have been completely avoided if proper care had been given.
Sadie added: “I’m terrified to ever go to the dentist again, I don’t trust anywhere in the UK with my teeth.
“It’s deeply disturbing to me that the dentist was able to get away with blatantly ignoring my pain for months, making me feel like nothing but an inconvenience.
“I’m now considering flying to Turkey to see if I can get my teeth fixed as best I can.”