A man shocked doctors after they found he had been living with a knife lodged in his chest for eight years.
The 44-year-old went to hospital complaining of pus discharge below his right nipple, but medics were baffled as he had no other symptoms.
The unnamed patient reported no chest pain, difficulty breathing, cough or fever, and his vital signs were normal.
READ MORE: Huge great white shark spotted near tourist beaches
Doctors were stumped – until the man recalled an incident that took place nearly a decade ago, as reported by Need To Know.
During a “violent altercation”, he said he sustained multiple cuts to his face, back, chest, and abdomen, though doctors treated the wounds at the time.

Life had been “uneventful” since, according to the patient, until he noticed pus coming from below his nipple.
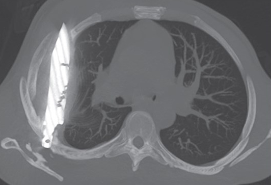
Incredibly, a chest radiograph found the cause of his current ailment – a large knife blade lodged in the mid-thorax.
Doctors could see the knife had entered through the right scapula, and had managed to dodge any major organs.

The knife was carefully extracted during surgery, with the pus – caused by dead tissue – drained at the same time.
The man stayed in the ICU for 24 hours before being transferred to the general ward, where he remained for 10 days while doctors monitored his condition.
The case, reported by the Journal of Surgical Case Reports last month, shared that the patient – who was treated at Muhimbili National Hospital in Tanzania – recovered well and follow-up appointments were “uneventful”.
READ MORE: Man impaled girlfriend with bedpost because he ‘was p***ed off and wanted her out’



An image showing a large metallic (knife) foreign body removed from the middle lobe of the right lung. (Jam Press/Journal of Surgical Case Reports)