Hero surgeons have removed an ovarian tumour the size of a full-term baby from a 69-year-old woman.
She had spent months completely unaware of the mass growing inside her.
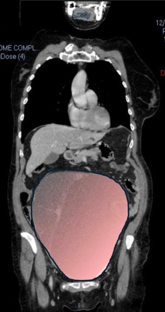
It only became noticeable when the tumour, along with a second intestinal growth, began compressing her colon.
READ MORE: Footballer, 25, dies in ‘mysterious’ 20ft fall from ski resort bridge
This caused sudden, acute symptoms that led to severe bowel obstruction.
She was admitted to hospital and underwent emergency surgery.
In a complex operation lasting around six hours, surgeons successfully removed the 28cm (1 in) tumour, which weighed a staggering 6kg (13lb).
She was then admitted to the ICU to recover, as reported by Need To Know.
The growth was described by the City of Health and Science of Turin as “comparable in volume to a full-term twin pregnancy”.


“The most dangerous symptoms were linked to intestinal distress, requiring immediate, coordinated intervention from multiple specialists,” the hospital said.
“The operation literally saved the woman’s life,” the health centre added.
“It was made possible by the combined efforts of oncological gynaecologists, surgeons, anaesthetists, gastroenterologists, pathologists, radiologists, nurses and healthcare staff.
“All able to coordinate quickly and turn days of waiting and fear into a story of hope.”
It took place on 23 December.
READ MORE: Tequila tycoon found dead after being kidnapped by armed gang