A teenage boy was shocked to discover he had a button stuck up his nose for over a decade.
This rare case of symptomless foreign body obstruction became apparent during a routine dental radiography, Need To Know reports.
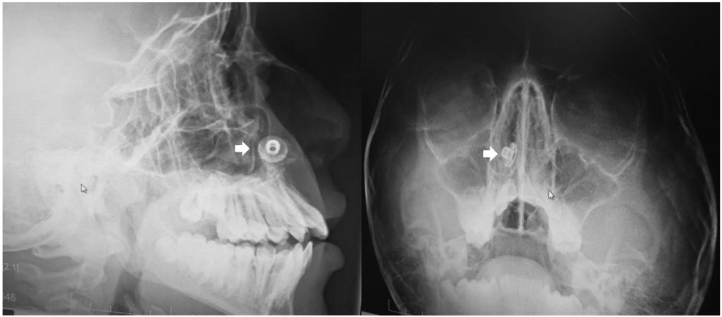
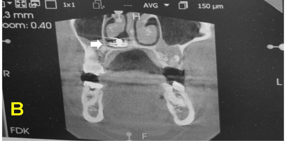
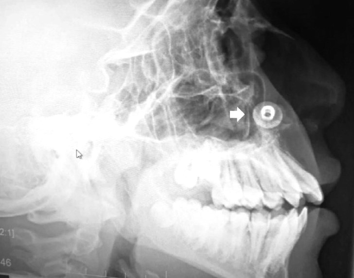
The teen, 17, denied ever having stuck anything up his nose and had no symptoms of anything being amiss – yet a small metal button was present in the floor of his nasal cavity.
READ MORE: Russian fighter jet crash lands on belly without landing gear
His parents said they had sought medical treatment for a suspected nasal foreign body when he was seven.

However, as he was uncooperative with medics at the time, removal under sedation was recommended.
But because he showed no symptoms of anything amiss, it never took place.

Experts speculated that the button had likely been there for over a decade in a recently published medical journal.
The absence of any symptoms, which can include a foul odour and rhinorrhea (a runny nose), is likely due to the location of the button.

Nasal foreign bodies are common in young children, but it is extremely rare for them to go undetected for so long.
The journal explained: “The object was partially covered with mucus and possibly some crusted material and had a shiny appearance, indicating a metallic nature.
“The surrounding bony structures appeared normal.


“A CBCT confirmed the presence of the foreign body with associated mild inflammation, but no significant bony damage or sinus involvement was observed.
“With informed consent from the patient’s parent, the foreign body was removed under local anaesthesia in a semi-sitting position to reduce the risk of dislodgment to the airway.”
Following the removal of the button with “minimal bleeding”, the teen was prescribed a solution to aid the healing process.
He was reported to be doing well two weeks after the removal with “an unremarkable examination”.
READ MORE: Desperate woman leaps from second-floor window to escape ‘crazed husband’ with knife