A woman has revealed how she thought troubles typing and stuttering were due to the menopause – but it was actually two brain tumours.
Elizabeth Murphy had never faced these struggles before.
The 60-year-old only visited the doctors when “severe” headaches took hold.
But it wasn’t until the Crown Court clerk’s face “dropped” that she got the devastating diagnosis: two brain tumours.
“When they said it was a tumour, I was in shock,” Elizabeth, from Taunton, told Need To Know.
“We’d been told it was a bleed on the brain, so it came completely out-of-the-blue.”
Elizabeth had been struggling to find her words – often leading to a bout of stuttering – along with difficulties typing fluently, as well as spelling.

She simply assumed it was “menopausal brain fog” and tiredness from long hours in her stressful job in court.
The headaches and “drooping” face that followed only indicated that something much worse was going on.
She said: “When my face dropped, my colleagues noticed.
“That’s when everything changed.”
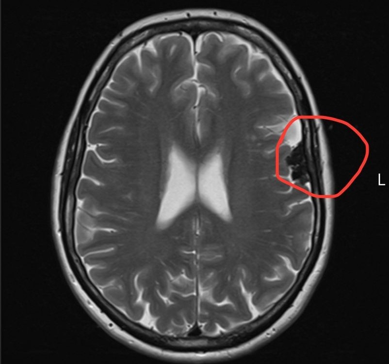
An MRI later revealed a meningioma, a type of brain tumour.
Even though her diagnosis was confirmed, there was an “agonising” five-month wait to hear the extent of her condition.
Elizabeth said: “It was terrifying.
“I kept thinking: ‘What if it’s growing?’

“Then, when I finally saw the specialist, they told me not only did I have one tumour, but actually two.”
Doctors advised Elizabeth to “watch and wait” since both tumours were benign and slow-growing.
For now, she’s undergoing regular MRI scans to monitor their growth.
This month, she’s taking on the 99-mile challenge with Brain Tumour Research to help raise awareness and funds toward their vital work.
Elizabeth will either walk, run, cycle, swim or complete the miles in the gym.
She added: “I’m grateful to be here and to be celebrating my 60th birthday.
“I’ll be in Sri Lanka doing the first two weeks of [the challenge], walking to raise vital money for research.

“I’ve already raised £130 before even starting, and I’ve just been given a smartwatch as a gift, which will help me log my miles.
“I want others to have hope, but we need more funding and support for people like me who are left waiting and worrying.”
Letty Greenfield, community development manager at Brain Tumour Research, said: “Elizabeth’s story highlights how easily brain tumour symptoms can be mistaken for something else, from stress to menopause.
“Her experience shows why it’s so important to listen to your body and push for answers.
“We’re incredibly grateful to Elizabeth for sharing her story and taking part in our 99 Miles in November challenge.”
