A woman who died roughly 2,500 years ago survived an ancient jaw surgery.
She was estimated to be 25 to 30 years old at death and was found partially mummified in a wooden coffin preserved in ice.
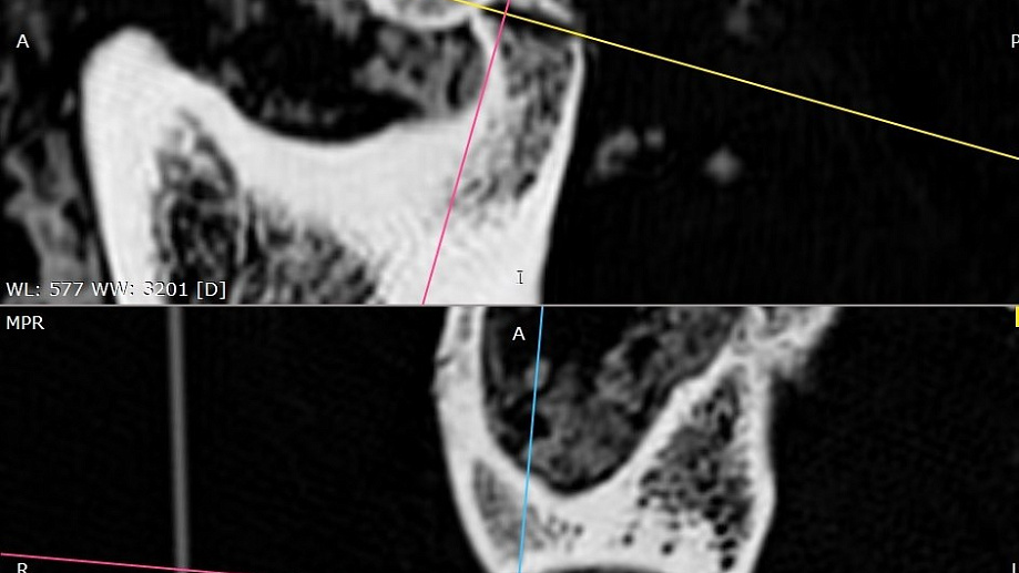
Experts at Novosibirsk State University (NSU), Russia, used a CT scan to examine her skull, hidden beneath layers of mummified tissue.
READ MORE: Remains of mum found in submerged car 22 years after she vanished without a trace
The scan showed she had suffered a severe head injury in life – her right jaw joint was destroyed, ligaments torn, and her lower jaw displaced beneath the skin.
Without intervention, she likely would have died quickly.
Remarkably, she survived a complex surgical procedure that restored jaw function, allowing her to eat and speak again.
This is believed to be the earliest known example of such surgery, as reported by Need To Know.

The scan revealed two small holes deliberately drilled in the bone during her lifetime, each surrounded by a ring of new bone growth – clear evidence of healing.
Traces of elastic material, probably horsehair or tendon, were found inside the holes, suggesting they were used as a primitive surgical ligature to stabilise her jaw.
Further proof of the operation’s success came from her teeth – those on the injured side were intact, while teeth on the healthy side were worn from overuse, indicating long-term chewing and survival.
The cause of her injury is unknown, though researchers suggest a fall from a horse or height. It is unclear how long she lived after the surgery.

She was buried at Verkh-Kaldzhin-2, a site of the Iron-Age Pazyryk culture in Southern Siberia.
Previous research shows the Pazyryks already performed trepanning – drilling or scraping holes in the skull – during life.
Natalia Polosmak, of the Institute of Archaeology and Ethnography in Novosibirsk, said: “Surgery is essential for sustaining life. In the harsh Altai mountains, it was vital.
“Pazyryks were a small population with low birth rates and short lifespans. Every life mattered.
“This study confirms that they could perform complex surgery to save lives.”
READ MORE: New Bluetooth URN lets you play tunes from beyond the grave – but it’ll cost you


